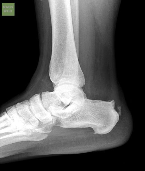
Topuk Dikeni Nedir?
Topuk dikeni, topuk kemiğinde gelişen sivri uçlu kemik büyümeleridir. Kalkaneus olarak adlandırılan topuk kemiğinin altında kalsiyum birikintilerinin oluşturduğu dikene benzeyen yapıdır. Röntgen filmi ile kolayca topuk dikeni teşhisi konulabilir bu genelde 1 – 1,50 cm lik bir kemik görünümündedir. Eğer röntgende görünmüyorsa bu tarz durumlara topuk dikeni sendromu adı verilmektedir.
Topuk dikeni altta yatan bir sağlık sorununa bağlı olarak gelişebileceği gibi bağımsız olarak da görülebilir. Topuğun önünde ayak kemerinin hemen altında ya da topuğun arkasında bulunabilir. Topuğun arkasında gelişen topuk dikeni sıklıkla aşil tendonunun iltihaplanması ile ilişkilendirilir. Aşil tendiniti olarak bilinen bu iltihabi durumda ayağın ön kısmına basınç uygulanması hassasiyet ve topuk ağrısında artışa neden olur. Topuğun ön kısmında görülen topuk dikeni ise sıklıkla plantar fasiit ile ilişkilidir. Plantar fasiit, ayağın altından geçen ve topuk kemiğini ayak parmaklarına bağlayarak plantar fasya adı verilen fibröz bağ dokusunun ağrılı bir iltihabıdır.

Topuk dikeni ayakkabı ve topuk dikeni için terlik modellerimizi incelemek için ilgili sayfaları ziyaret etmenizi öneririz.